Project Cinna
Start Uppåt Rebecka och dagis Rebecka i farten Tomtebilder Nya mysbilder Hjälpa till Mysbilder Babysim Krypa Dop Hjälpa till Babysim Mammas jobb Februari gos Mat Köksstol Rulla runt Hjälpa pappa Pulk åkning Leka och lära Gos Bada Toes Babysitter Lite mer bilder More favvis Rebecka får besök Rebecka är född Favvis bilder Project Cinna

 

Ett barn upptäcks Mage Ultra pictures

 

 

Hej

Kanelbullen har inte haft så många releaser under sommaren 2002 och här kommer orsaken.

Kanelbullen proudly presents

Project Real Cinna

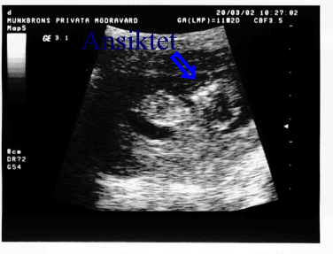
Här är en bild på ultraljudet efter 12 veckor. Av någon outgrundlig orsak blev de mycket tydligare än de efter 18.

Här kommer numera en del bilder mm presenteras av detta under som alla blivande föräldrar gennomgår.